Skip to content
O nama
Usluge
Zašto mi?
Pre i posle
Iskustva korisnika
Vijesti
Search for:
Toggle sidebar & navigation
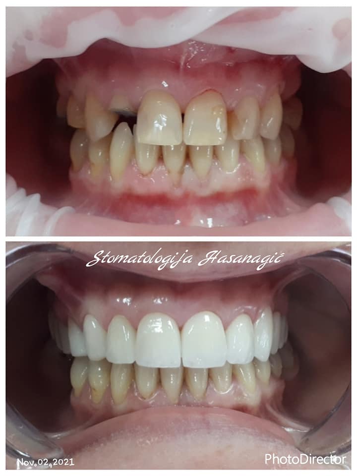
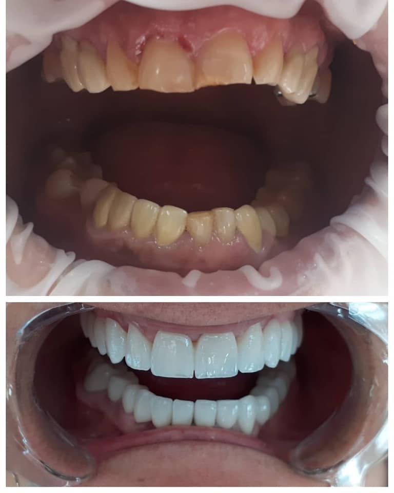
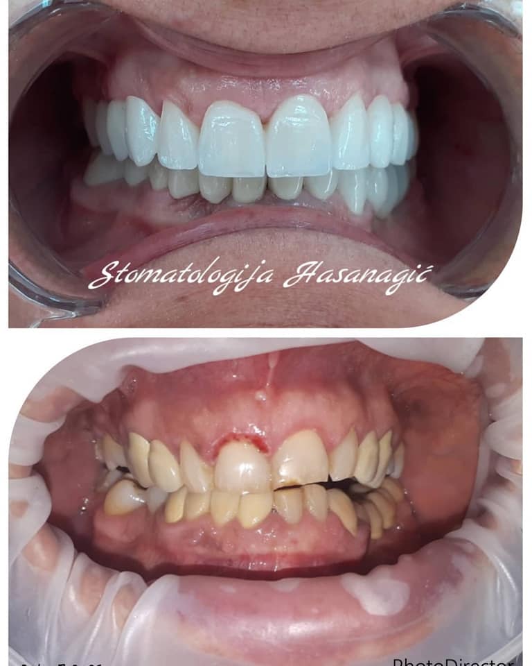
Pre i posle